おはようございます、医師の秋山です。
今日は、【胃レントゲン検査の落とし穴】について書きます。
これまで何度かブログで、”胃は必ず胃カメラで観察した方が良いですよ”と書いてきました。
よかったら、読んでみてください。
今回は、実際の事例を提示したいと思います。
60代の男性です。
この方は毎年検診で、胃レントゲン検査をしっかり受けてきました。
今回レントゲンで「要精密検査」というお手紙が来て、当院を受診されました。
内容は”胃上部のひだ肥厚・壁硬化の疑い”と書かれています。
胃の症状は特になく、体調もよいとのことです。
胃カメラはこれまで受けたことがなかったので、「それでは胃カメラで確かめてみましょうね」と検査を開始しました。
すると・・・

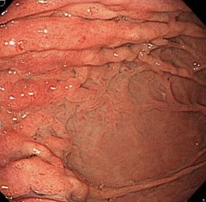
レントゲンで言われたように、胃の上部のひだが肥厚して腫れあがっています。
胃の壁は硬くなっていて、スコープで空気を入れてもこれ以上は広がりません。
これは「スキルス胃がん」です。

胃の粘膜下を這うようにしてがんが全体に進行するために、胃の壁が硬くなり広がらなくなります。

胃の上部から真ん中・出口近くまで、がんが粘膜下を這っています。
おそらく胃の全摘出手術が必要になるでしょう。
抗がん剤治療(化学療法)が追加で必要な場合もあり、CTで全身転移が見つかったときは、命を落とすことにもなりかねません。
このように胃がんは進行が早いとても怖い病気なので、早期で発見することが極めて重要です。
では、この患者さんについて改めて振り返ってみます。
検診資料を見てみると、
胃部X線:
2013年:異常なし
2014年:異常なし
2015年:異常なし
2016年:異常なし
2017年:異常なし
2018年:「胃上部;ひだ肥厚・壁硬化の疑い」
となっていました。
スキルス胃がんは進行が早いので、1年間でここまで進行してしまったとも考えられます。
しかし私は、やはり胃胃レントゲン検査精度がどうしても気になります。
後出しジャンケンのようになりますが、2017年・2016年の時点でがんを発見できなかったことが残念でなりません。
胃レントゲン検査で1年前・2年前に発見できなかった理由を考えてみましょう。

①読影の問題
放射線科の先生が、胃レントゲンのフィルムを読んでいきます。
その中で、フィルムで微細な胃粘膜の変化を読み取るには、相当な読影力が必要になります。
読影医の能力に差があることは問題ですが、もともと読影が詳細にできなくなる原因があります。
1つは、検診者が多すぎることです。
毎日膨大な数の胃レントゲンのフィルムを読んでいきますので、1人一人にかける読影時間はどうしても短くなります。
次に、読影の先生が常勤でない可能性があります。
仮にがんを見逃してしまったとしても、「見逃した・見逃していない」の線引きは現実には難しいですから、放射線科医の責任は問われません。
もう1つは、「前年度のバイアス」です。
1年前に「異常なし」さらにその前も「異常なし」とあると、読影の先生が「たぶん今年も異常ないだろう」と考えてしまうのが普通かもしれません。
毎年「異常なし」と書かれてしまうと、詳しく読影がされない現実があるようです。
フィルムを読影する放射線科の先生も、負担が大きいと思います。
②胃レントゲン検査の限界
胃レントゲン検査は、影絵のようにしてレントゲン写真に映す原理です。

上のイラストのように、小さくて平坦な早期胃がんは、映ってきません。
①②のように見てくると、胃レントゲンで早期胃がんを発見することは、そもそも困難だと分かります。
進行胃がんで見つかると、治療に多くのお金がかかり、生活の質も低下してしまいます。
何より、ご飯が美味しく食べられなくなってしまいます。
これは、とても悲しいことです。
胃がんは、早期で発見することがとても大切です。
胃がんを早期で発見するために大切なことは、レントゲン検査を受けることでもピロリ菌の検査をすることでもありません。
胃カメラを定期的に受けることです。
私達消化器科医は胃がんの怖さを知っているので、お互いに定期的に胃カメラで胃がんの有無を観察しています。
まとめ
「胃がんは進行が早い」こと、「胃レントゲン検査では早期胃がんの発見が難しい」ことを知っていただきたいと思います。
そしてどこの医療機関でも良いので、まず一度は胃カメラを受けていただきたいと思います。